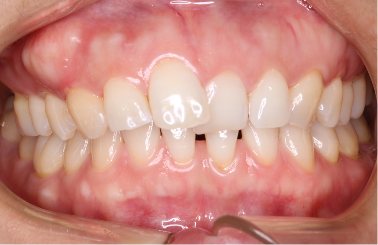
右上の出っ歯、下の前歯の隙間が気になって来院された患者様です。
昔から歯並びが気になっていたのですが、装置に抵抗があり今まで治療に踏み込めずにいました。ネットでマウスピース矯正を知り来院されました。
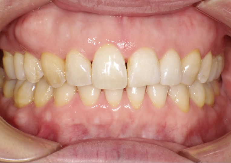
今回は歯列弓の拡大と遠心移動で隙間を作り、出ていた前歯を後ろに下げました。元から奥歯の噛み合わせが綺麗な患者様だったため、前歯を下げることにより奥歯の噛み合わせが悪くなる可能性がありましたが、患者様に了承をいただきマウスピースで治療を行いました。
前歯を下げた上で奥歯の噛み合わせも整えるにはワイヤー矯正が適しています。









