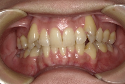
大きく唇側に飛び出てしまっている八重歯をマウスピースで治療した症例です。
矯正治療で抜歯をする際には前から4番目の小臼歯を抜歯するのが一般的ですが、こちらの患者様は八重歯以外比較的綺麗に並んでいたため、八重歯である3番目の歯を両サイドとも抜歯し治療を行いました。
通常抜歯をする症例ではインビザラインに先立ってワイヤー矯正を併用することが多いです。マウスピース矯正だけでは抜歯した部分の隙間を埋めるのに時間がかかりすぎてしまうため、一部ワイヤー矯正を併用し効率的に動かした後マウスピース矯正に移行します。
しかし今回は歯を抜いた後の隙間があまりなかったため、マウスピース矯正のみで治療が完了しております。
抜歯し大きく歯を動かす必要のある症例ではインビザラインアドバンスやワイヤー矯正をお勧めすることがあります。









