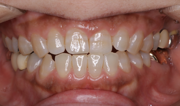
上顎だけの部分矯正で左上前歯の反対咬合を治しました。
下顎に干渉していた左上の前歯を動かすことにより正常の噛み合わせに戻しました。元から歯並びは綺麗な患者様だったため非常に短期間で綺麗に治りました。
今回の症例は部分矯正で綺麗に治りましたが、部分矯正は適応範囲が狭いため、症例により全顎矯正になることがあります。


2026年1月15日


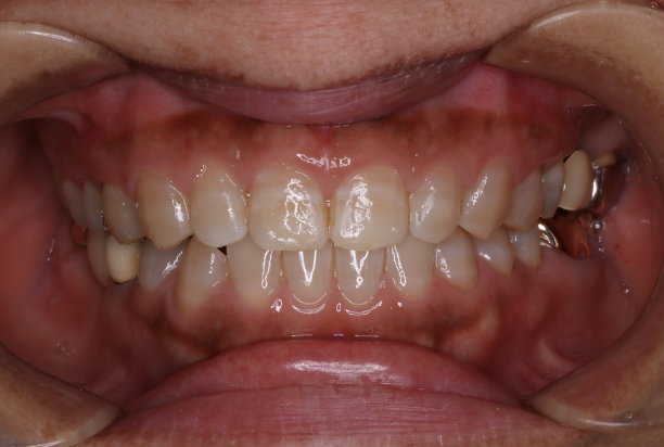
上顎だけの部分矯正で左上前歯の反対咬合を治しました。
下顎に干渉していた左上の前歯を動かすことにより正常の噛み合わせに戻しました。元から歯並びは綺麗な患者様だったため非常に短期間で綺麗に治りました。
今回の症例は部分矯正で綺麗に治りましたが、部分矯正は適応範囲が狭いため、症例により全顎矯正になることがあります。
| 主訴 | 噛み合わせが悪い |
|---|---|
| 治療期間 | 5ヶ月 |
| 費用 | ¥ 282,960 |
| リスク・副作用 | 反対咬合の症例は部分矯正では治りきらないことがある |
当院では、患者様が抱えていらっしゃるお口のお悩みや疑問・不安などにお応えする機会を設けております。
どんなことでも構いませんので、私たちにお話しいただけたらと思います。
ご興味がある方はお問い合わせください。
