前歯が大きくすいてしまっているのを上の前歯のみの部分矯正で治療しました。
隙間が大きく、歯を並べるスペースが十分にありましたので、治療期間は4か月と驚くほど早く治すことができました。
今回の症例は奥歯の噛み合わせが良く、問題が前歯に限局していたため、部分矯正で綺麗に治りました。しかし部分矯正は適応範囲が狭いため、症例により全顎矯正になることも多いことをご理解ください。

2025年12月4日


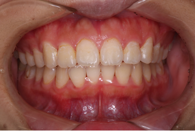
前歯が大きくすいてしまっているのを上の前歯のみの部分矯正で治療しました。
隙間が大きく、歯を並べるスペースが十分にありましたので、治療期間は4か月と驚くほど早く治すことができました。
今回の症例は奥歯の噛み合わせが良く、問題が前歯に限局していたため、部分矯正で綺麗に治りました。しかし部分矯正は適応範囲が狭いため、症例により全顎矯正になることも多いことをご理解ください。
| 主訴 | すきっ歯を治したい |
|---|---|
| 治療期間 | 4ヶ月 |
| 費用 | ¥259,200 |
| リスク・副作用 | 部分矯正では治らず、全顎矯正になる可能性がある |
当院では、患者様が抱えていらっしゃるお口のお悩みや疑問・不安などにお応えする機会を設けております。
どんなことでも構いませんので、私たちにお話しいただけたらと思います。
ご興味がある方はお問い合わせください。
